
为缩短患者检查时间,满足更高诊疗需求,2023年,我院在原有一台GE3.0T磁共振的基础上新增GE1.5T磁共振一台。在科主任曹文广的指导下,医学影像科人集思广益,在磁共振的功能开发上与临床多次积极沟通,以解决临床问题为导向,积极开展新技术、新项目,填补医院多项空白,拓展了磁共振检查范围,满足了临床诊疗需求,为临床提供了精准的影像检查。
产前检查
1、胎盘磁共振成像
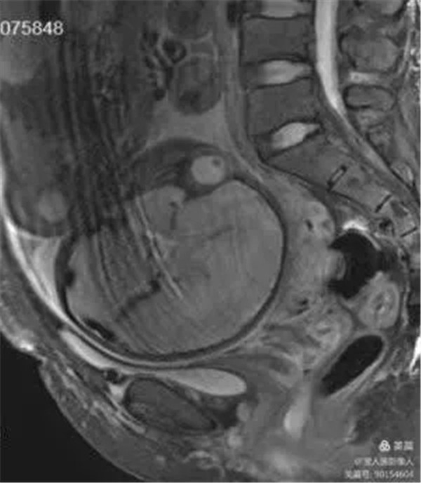
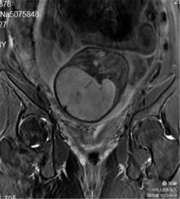
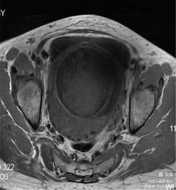
病例11:患者前置胎盘、血管前置、胎盘穿透性植入

图1,矢状位-显示胎盘与子宫后壁、宫颈、直肠关系

图2,冠状位-显示胎盘与子宫左右肌壁、宫颈关系。

图3,轴位T1WI-显示胎盘内信号特点及与周围脂肪间隙境界。

图4,轴位fs-T2WI-显示胎盘内信号特点
胎盘磁共振成像优缺点:
1、评估胎盘,在怀孕18-20周的胎儿筛查期间超声检查不确定或胎盘评估有限(胎盘位于后方)的情况下。
2、MRI不受胎儿方位、羊水过少、骨骼或肥胖的影响。
3、MRI提供更好的软组织对比度和更宽视野的多平面成像。
缺点:受到来自移动的胎儿和母亲的呼吸伪影的限制,并且取决于技术员扫描图像的能力。
2、胎儿颅脑磁共振成像
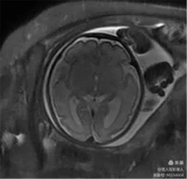
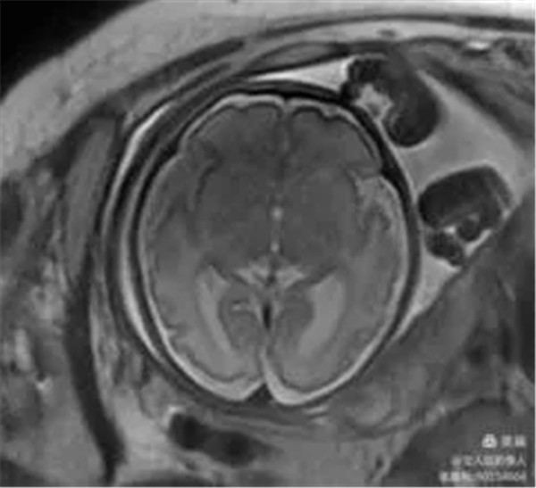
病例12:评估胎儿颅脑发育情况。

图5,轴位fs-T2WI-显示颅脑

图6,矢状位T2WI-显示胎儿颅脑

图7,冠状位T2WI-显示胎儿颅脑

图8,轴位T2WI-显示颅脑
胎儿MRI检查的主要适应证:
1、能够为超声筛查怀疑或不能充分诊断的中晚孕期神经系统先天畸形提供额外信息。有脑部疾病家族风险的胎儿可行MRI筛查。
2、对于室管膜下囊肿、脑膜脑膨出、结节性硬化、脑裂畸形、颅内脉管畸形、颅内出血、颅内肿瘤及小头畸形等,更全面的信息。
3、脊柱先天畸形,如:半椎体、蝴蝶椎、融合椎、脊髓纵裂、脊髓脊膜膨出,以及椎管内占位。
4、先天性肺气道畸形、支气管肺隔离症、支气管囊肿、胸腔积液、先天性膈疝、胸壁肿瘤及纵隔肿块等的诊断,也适用于先天性膈疝、胸部肿块或胎肺发育不全评估。
5、腹盆部肿瘤、泌尿生殖系统畸形。