人口老龄化日趋严峻,骨质疏松症逐渐成为我国的社会问题,治疗脊柱退行性疾病合并骨质疏松症、脊柱肿瘤、创伤、脊柱感染等,传统椎弓根螺钉内固定术(PS),存在诸多缺点。
CBT(cortical bone trajectory)螺钉:皮质骨轨迹螺钉,减少、改善了常规固定方式所带来的不足,具有把持力强,创伤小,并发症少,术中出血少及术后感染率低等优点。

图中红色的标记线为CBT螺钉技术,黑色为传统椎弓根螺钉技术
骨四科副主任杨永辉指出,CBT螺钉可以通过固定病椎及邻椎达到重建脊柱稳定性的目的,并且避免暴露和移除之前的内置物,与传统椎弓根螺钉固定相比减少了固定节段,减少了手术创伤,促进了患者术后的功能恢复,是安全有效的手术方式。
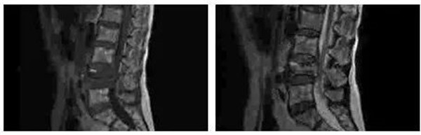
患者史某,女,59岁,以不慎摔倒后至腰背部疼痛3小时为主诉入我院骨四科。查体后发现患者腰椎活动受限,腰3-5棘突间隙压痛阳性,叩击痛阳性,双侧椎旁阳性,双侧下肢直腿抬高试验阴性,双下肢肌力、肌张力未见异常,双下肢皮肤感觉正常。后经影像学进一步检查明确患者为腰4椎体爆裂性骨折,骨四科团队经过讨论后决定为患者实施“后入路腰4椎体爆裂性骨折CBT螺钉固定、椎管减压、小关节融合术”。术后患者恢复良好。

术前MR

术前CT

术后影像